員工交通事故「堅持沒事」!老闆娘「一舉動」救回一命,醫驚:晚半小時就完了

2026-01-13     喬峰傳     反饋
2/4
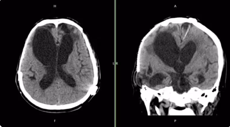
為什麼交通事故當下會「覺得沒事」?

新光醫院急診醫學科醫師解釋,腦傷後常見「清醒期」:

「特別是硬腦膜下出血,患者可能先意識清醒數小時,等血腫擴大才突然惡化。這就是為什麼交通事故後即使當下沒事,也必須觀察72小時。」

警覺重複話語:發現員工反覆說相同話術立即起疑

堅持就醫原則:不管對方怎麼拒絕都堅持送醫

要求完整檢查:不因初步檢查正常就鬆懈

舒黛葉 • 12K次觀看
喬峰傳 • 13K次觀看
老臘肉 • 21K次觀看
呂純弘 • 25K次觀看
老臘肉 • 17K次觀看
舒黛葉 • 9K次觀看
老臘肉 • 18K次觀看
老臘肉 • 8K次觀看
管輝若 • 10K次觀看
喬峰傳 • 13K次觀看
管輝若 • 7K次觀看
老臘肉 • 7K次觀看
管輝若 • 10K次觀看
呂純弘 • 10K次觀看
史聰珍 • 13K次觀看
呂純弘 • 27K次觀看
老臘肉 • 40K次觀看
舒黛葉 • 8K次觀看
舒黛葉 • 12K次觀看
管輝若 • 26K次觀看
老臘肉 • 8K次觀看
喬峰傳 • 28K次觀看
舒黛葉 • 8K次觀看
宋露靄 • 39K次觀看