世語圖說
2025年11月15日
登陸網站
聯繫我們
首頁
健康
體內有疾,走路便知?提醒:若走路出現3個姿勢,警惕是疾病信號
2023-07-28
開心果
反饋
20
/
22
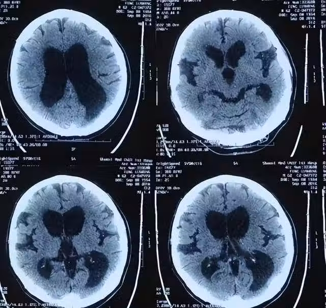
對於正壓性腦積水的治療,最有效的方法是手術,即腦脊液分流。
主要包括腦室引流術和腹腔分流術,目前此技術日漸成熟,能夠有效治癒病症,並且患者術後也不會出現後遺症。
總結一下,當發現親友走路出現貼地走、滑移拖行、運動遲緩的症狀,並且還會時有四肢顫動,身體平衡失調,一定要及時去醫院檢查,以免延誤病情,錯過了最佳治療時機。
上一頁
20
/
22
下一頁
沈玉琳血癌!「白血病的來源」可能潛伏在你家!回家檢查一下,趕緊扔掉吧
呂純弘 • 59K次觀看
大便之後要不要用水洗屁股?長期堅持洗的人,對身體有沒有好處?
幸山輪 • 2K次觀看
晚上十點前睡覺錯了?醫生提醒:過了60歲,睡覺要儘量做到這6點
幸山輪 • 3K次觀看
一周超過10次!51歲女子確診胰腺癌,家人崩潰:勸了多次都不聽!!
花伊風 • 2K次觀看
尿酸加重,雙腳先察覺?忠告:若腳踝出現這4個跡象,要提高警惕
幸山輪 • 1K次觀看
老年人為何常咳嗽痰多?50歲後,4種潤肺菜要捨得吃,或能清咽喉
幸山輪 • 2K次觀看
48歲男突腦梗塞死亡,醫搖頭「煮飯加1物」:比煙酒更傷身
喬峰傳 • 1K次觀看
尿酸值飆高!56歲男關節隱隱作痛「腎臟報廢」醫生嘆息:兩種家常菜吃太多了!
花伊風 • 810次觀看
醫生分析3關鍵原因 越南人全亞洲最瘦
一條毛 • 220次觀看
天氣轉涼,高血壓患者注意:晚上寧可不吃飯,也不要輕易吃這4物
幸山輪 • 1K次觀看
體內有癌,睡眠先知?晚上睡覺時若出現3種跡象,建議儘早做預防
幸山輪 • 650次觀看
「每日午睡」是錯的?過了50歲,每天該不該睡午覺?醫生來告知
幸山輪 • 410次觀看
一家四口「連患白血病」!醫揪元兇這家常菜「甲醛爆表400倍」…網嚇瘋:我昨天才吃
呂純弘 • 530次觀看
獵S直播間完整後續
游啊游 • 350次觀看
腎衰竭「源頭」被發現,熬夜沒上榜,前三名大家可能每天都在做
喬峰傳 • 960次觀看
24歲男大學生胃癌晚期,抽煙喝酒都不碰!醫生嘆息:做錯了一件事
幸山輪 • 410次觀看
四種麵條不要再買了,掛麵廠朋友私下告訴我的,讓家人也知曉!
幸山輪 • 370次觀看
人不會無緣無故患上腎結石?研究發現:患腎結石,背後有6點原因
幸山輪 • 700次觀看
睡前9個細節,尿酸高的人一定要做,夜間尿酸最容易出問題?
幸山輪 • 60次觀看
腹痛腹脹腹內腫塊,4個癌症對應的腹部表現,勸您早些了解
幸山輪 • 90次觀看
很多老人不是病倒的,是睡不好的。睡眠機能的衰退,比你想像快
幸山輪 • 180次觀看
燕麥,燕麥片,麥片一樣嗎?有 3個誤區,很多人不僅吃錯,還買錯
幸山輪 • 390次觀看
「膽固醇冠軍」被發現!千萬不要再吃了,含量是肥肉的24倍,很多人天天在吃.
花伊風 • 470次觀看